Архив офтальмологии Украины Том 13, №3, 2025
Вернуться к номеру
Ультраструктурні особливості меланоми хоріоідеї після комбінованої дії транспупілярної термотерапії та брахітерапії стронцієм-90/ітрієм-90 за розробленою методикою та віддаленні результати лікування
Авторы: Друмі Д.А., Цуканова І.В., Полякова С.І., Молчанюк Н.І.
ДУ «Інститут очних хвороб і тканинної терапії ім. В.П. Філатова НАМН України», м. Одеса, Україна
Рубрики: Офтальмология
Разделы: Клинические исследования
Версия для печати
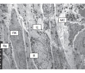
Актуальність. Органозберігаюче лікування увеальної меланоми, зокрема меланоми хоріоідеї (МХ), нині є провідним методом, і його золотим стандартом визнана брахітерапія (БТ), яка в усьому світі проводиться за допомогою таких радіоактивних ізотопів, як рутеній-106, йод-125, паладій-103, золото-198, рідше іншими ізотопами, зокрема стронцієм-90. Мета: вивчити ультраструктурні особливості МХ стадій Т1–4 після комбінованої дії транспупілярної термотерапії (ТТТ) та БТ стронцієм-90/ітрієм-90 за розробленою методикою та віддалені результати лікування. Матеріал та методи. Проведено ретроспективне когортне дослідження, у ході якого вивчено віддалені результати лікування 283 хворих на МХ стадій Т1–4, при строках спостереження від 12 до 180 місяців, які лікувалися у ДУ «Інститут очних хвороб і тканинної терапії ім. В.П. Філатова НАМНУ» з 2007 по 2024 рік, та проведено електронно-мікроскопічні дослідження 6 енуклейованих очей із продовженим ростом пухлини. Середній вік пацієнтів становив 54,2 (± 12,4) року. Чоловіків було 125 (44,2 %), жінок — 158 (55,8 %). Результати. Вперше визначено, що ультраструктурно прояви лікувального патоморфозу після комбінованої дії ТТТ і БТ стронцієм-90/ітрієм-90 за розробленою методикою виявляються у вигляді некротичних змін у стромі пухлини, як-от фібриноїдний некроз колагенових фібрил, некроз меланоцитів, великі макрофаги з меланосомами, меланінові гранули у ядрах, просвітлення цитоплазми та каріоплазми зі зменшеною кількістю хромосом у ядерці, відсутність плазмолем клітин і їх органел. Віддалені результати лікування показали, що при терміні спостереження до 60 місяців 220 (89,1 %) хворих живі, померли — 16 (6,5 %), дані про виживаність 11 хворих (4,4 %) відсутні. 60 і більше місяців спостерігаються 36 пацієнтів, всі з яких живі, проте 2 мають метастатичний процес. Основним органом метастазування є печінка (15 хворих), у 1 — легені. Висновки. Визначені ультраструктурні ознаки лікувального патоморфозу після комбінованої дії ТТТ і БТ стронцієм-90/ітрієм-90 за розробленою методикою на МХ. Причиною енуклеації очей із МХ була виявлена ультраструктурна активність метаболічних процесів у клітинах пухлини. Ефективність комбінованої дії ТТТ і БТ стронцієм-90/ітрієм-90 за розробленою методикою лікування МХ стадій Т1–4 становить 90,45 % із розвитком метастатичного процесу в 5,65 % випадків.
Background. Organ-sparing treatment for uveal melanoma, in particular choroidal melanoma (CM), is currently the leading method, and brachytherapy is recognized as its “gold standard”. It is performed worldwide using radioactive isotopes such as ruthenium-106, iodine-125, palladium-103, gold-198, and less commonly other isotopes, including strontium-90. The purpose was to study the ultrastructural features of CM stages T1–4 after the combined action of transpupillary thermotherapy (TTT) and brachytherapy with strontium-90/yttrium-90 using the developed technique and the long-term results of treatment. Materials and methods. A retrospective cohort study was conducted, which investigated the long-term treatment outcomes in 283 patients with CM stages T1–4, with observation periods from 12 to 180 months, who were treated at the State Institution “The Filatov Institute of Eye Diseases and Tissue Therapy of NAMS of Ukraine” from 2007 to 2024. Also, electron microscopic studies of 6 enucleated eyes with continued tumor growth were carried out. The average age of the patients was 54.2 ± 12.4 years. There were 125 men (44.2 %), 158 women (55.8 %). Results. It was determined for the first time that ultrastructural manifestations of therapeutic pathomorphosis after the combined action of TTT and strontium-90/yttrium-90 brachytherapy using the developed technique are manifested in the form of necrotic changes in the tumor stroma such as fibrinoid necrosis of collagen fibrils, necrosis of melanocytes, large macrophages with melanosomes, melanin granules in the nuclei, cytoplasmic and karyoplasmic clearing with a reduced number of chromosomes in the nucleolus, absence of plasmalemma of cells and their organelles. Long-term treatment outcomes showed that with a follow-up period of up to 60 months, 220 (89.1 %) patients are alive, 16 (6.5 %) died, data on the survival of 11 patients (4.4 %) are unknown. Thirty-six patients are observed for 60 months or more, all of them are alive, but two have a metastatic process. The main organ of metastasis is the liver (15 patients), in one patient, it is the lungs. Conclusions. Ultrastructural signs of therapeutic pathomorphosis were determined after the combined action on CM of TTT and strontium-90/yttrium-90 brachytherapy according to the developed technique. The cause for enucleation of the eyes with CM was the ultrastructural activity of metabolic processes in tumor cells. The effectiveness of the combined action of TTT and strontium-90/yttrium-90 brachytherapy according to the developed method of treatment for CM stages T1–4 is 90.45 %, with the development of a metastatic process in 5.65 % of cases.
меланома хоріоідеї; лазерне лікування; офтальмологія; онкологія; іонізуюче випромінювання; гістологічне дослідження; електронна мікроскопія
choroidal melanoma; laser treatment; ophthalmology; oncology; ionizing radiation; histological examination; electron microscopy
Для ознакомления с полным содержанием статьи необходимо оформить подписку на журнал.
- Rao YJ, Sein J, Badiyan S, Schwarz JK, DeWees T, Grigsby P, Rao PK. Patterns of care and survival outcomes after for uveal melanoma in the post-coms era (2004–2013): a surveillance, epidemiology, and end results analysis. J Contemp Brachytherapy. 2017;9(5):453-65. doi: 10.5114/Jcb.2017.70986.
- Russo A, Laguardia M, Damato B. Eccentric ruthenium plaque radiotherapy of posterior choroidal melanoma. Graefe’s Arch Clin Exp Ophthalmol. 2012;250:1533-1540. doi: 10.1007/s00417-012-1962-3.
- Shields CL, Kaliki S, Furuta M, Mashayekhi A, Shields JA. Clinical spectrum and prognosis of uveal melanoma based on age at presentation in 8,033 cases. Retina. 2012. doi: 10.1097/iae.0b013e31824d09a8.
- Shields Cl, Kaliki S, Furuta M, Fulco E, Alarcon C, Shields JA. American Joint Committee on Cancer Classification of Uveal Melanoma (Anatomic Stage) Predicts Prognosis in 7,731 Patients: The 2013 Zimmerman Lecture. Ophthalmology. 2015;122(6):1180-6. doi: 10.1016/j.ophtha.2015.01.026.
- Collaborative Ocular Melanoma Study Group. The COMS randomized trial of iodine 125 brachytherapy for choroidal melanoma: V. Twelve-year mortality rates and prognostic factors: COMS report № 28. Arch Ophthalmol. 2006;124(12):1684-93. doi: 10.1001/archopht.124.12.1684.
- Verschueren KM, Creutzberg CL, Schalij-Delfos NE, Kete–laars M, Klijsen FL, Haeseker BI, et al. Long-term outcomes of eye-conserving treatment with Ruthenium(106) brachytherapy for choroidal melanoma. Radiother Oncol. 2010;95(3):332-8. doi: 10.1016/j.radonc.2010.03.023.
- Wang Z, Nabhan M, Schild SE, et al. Charged particle radiation therapy for uveal melanoma: a systematic review and meta-analysis. Int J Radiat Oncol. 2013;86:18-26. doi: 10.1016/j.ijrobp.2012.08.026.
- Shields CL, Say EAT, Hasanreisoglu M, Saktanasate J, Lawson BM, Landy JE, et al. Cytogenetic abnormalities in uveal melanoma based on tumor features and size in 1059 patients: The 2016 W. Richard Green lecture. Ophthalmology. 2017;124(5):609-18. doi: 10.1016/j.ophtha.2016.12.026.
- Frenkel S, Hendler K, Pe’er J. Uveal melanoma in Israel in the last two decades: characterization, treatment and prognosis. Isr Med Assoc J. 2009;11(5):280-5. PMID: 19637505.
- Pilotto E, Vujosevic S, De Belvis V, Parrozzani R, Boccassini B, Midena E. Long-term choroidal vascular changes after iodine brachytherapy versus transpupillary thermotherapy for choroidal melanoma. Eur J Ophthalmol. 2009;19(4):646-53. doi: 10.1177/112067210901900420.
- Karimi S, Arabi A, Siavashpour Z, Shahraki T, Ansari I. Efficacy and complications of ruthenium-106 brachytherapy for uveal melanoma: a systematic review and meta-analysis. J Contemp Brachytherapy. 2021;13(3):358-364. doi: 10.5114/jcb.2021.106191.
- Maheshwari A, Finger PT. Regression patterns of choroidal melanoma: After palladium-103 (103Pd) plaque brachytherapy. Eur J Ophthalmol. 2018;28(6):722-730. doi: 10.1177/1120672118776146.
- Maheshwari A, Finger PT. Laser treatment for choroidal me–lanoma: Current concepts. Surv Ophthalmol. 2023;68(2):211-224. doi: 10.1016/j.survophthal.2022.05.002.
- Патент України на корисну модель № 102890 «Спосіб лікування хворих на меланому хоріоїдеї стадії Т1» / Н.В. Пасєч–нікова, В.О. Науменко, С.І. Полякова, І.В. Цуканова; заявник і патентовласник ДУ «Інститут очних хвороб і тканинної терапії ім. В.П. Філатова НАМН України». № u201504836; заявл. 18 травня 2015 р.; опубл. 25 листопада 2015 р.; Бюл. № 22. 3 с. URL: https://reposit.institut-filatova.com.ua/handle/123456789/348.
- Цуканова І.В., Полякова С.І., Науменко В.О., Пасєчні–кова Н.В. Ефективність транспупілярної діод-лазерної (810 нм) термотерапії за розробленою методикою в лікуванні меланом хоріоідеї стадії Т1 малих розмірів. Офтальмологічний журнал. 2019;3:36-40.
- Cвідоцтво про реєстрацію авторського права на твір № 135100. Науковий твір «Спосіб лікування хворих на меланому хоріоідеї стадій Т2-Т3 поєднанням дії транспупілярної термотерапії за розробленою методикою і брахітерапії стронцієм-90/ітрієм-90» / Н.В. Пасєчнікова, А.П. Малецький, С.І. Полякова, Є.П. Чеботарьов, І.В. Цуканова, Д.А. Друмі. Дата реєстрації 15 квітня 2025 р. URL: https://institut-filatova.com.ua/innovatsijna-tekhnolohiia-dlia-likuvannia-melanomy-khorioidei-stadij-t1-t3/.
- Віт В.В., Полякова С.І., Цуканова І.В Гістоморфологічні зміни увеальних меланом після одного, двох, трьох і чотирьох сеансів щоденної діод-лазерної (810 нм) транспупілярної термотерапії. Архів офтальмології України. 2019;2:17-21. URL: http://nbuv.gov.ua/UJRN/aroft_2019_7_2_5.
- Віт В.В., Молчанюк Н.І., Полякова С.І., Цуканова І.В. Ультраструктурні особливості меланоми хоріоідеї після діод-лазерної (810 нм) транспупілярної термотерапії за розробленою методикою. Офтальмологічний журн. 2019;6:56-63. http://doi.org/10.31288/oftalmolzh201965662.
- Jampol LM, Moy CS, Murray TG, Reynolds SM, Albert DM, Schachat AP, et al. COMS Follow-up of Plaqued Eyes Working Group. The COMS Randomized Trial of Iodine 125 Brachytherapy for Choroidal Melanoma: IV. Local Treatment Failure and Enucleation in the First 5 Years after Brachytherapy. COMS Report № 19. Ophthalmology. 2020;127(4S):148-157. doi: 10.1016/j.ophtha.2020.01.032.
- Cennamo G, Montorio D, D’Andrea L, Farella A, Matano E, Giuliano M, et al. Long-Term Outcomes in Uveal Melanoma After Ruthenium-106 Brachytherapy. Front Oncol. 2022 Jan 3;11:754108. doi: 10.3389/fonc.2021.754108.
- Kaštelan S, Mrazovac Zimak D, Ivanković M, Marković I, Gverović Antunica A. Liver metastasis in uveal melanoma — treatment options and clinical outcome. Front Biosci (Landmark Ed). 2022;27(2):72. doi: 10.31083/j.fbl2702072.
