Архив офтальмологии Украины Том 13, №3, 2025
Вернуться к номеру
Глаукома з кутовою рецесією: деякі питання етіології, патогенезу, клініки та лікування
Авторы: Бездітко П.А. (1), Безуглий М.Б. (2)
(1) - Харківський національний медичний університет, м. Харків, Україна
(2) - Запорізький державний медико-фармацевтичний університет, м. Запоріжжя, Україна
Рубрики: Офтальмология
Разделы: Справочник специалиста
Версия для печати
Під час проведення військових операцій відзначається експоненціальне зростання частоти пошкоджень очей, які є четвертими серед усіх пошкоджень, отриманих під час воєнних дій. Одним з найбільш тяжких ускладнень механічних травм ока є післятравматична глаукома. При травмуванні ока інвалідність у 17,2–35,7 % випадків зумовлена вторинною глаукомою. Післяконтузійна глаукома нерідко діагностується з великим запізненням, тому що як у лікарів, так і у пацієнтів немає глаукомної настороженості. Це особливо стосується глаукоми з кутовою рецесією, для якої клінічно характерні дві хвилі підвищення внутрішньоочного тиску. Практично у 100 % пацієнтів з гіфемою виникає рецесія кута передньої камери. У віддалених термінах, навіть через роки це зумовлює виникнення рефрактерної глаукоми, що може призвести до втрати зору. Своєчасне виявлення рецесії кута передньої камери — це профілактика виникнення глаукоми з рецесією кута і збереження зорових функцій.
During military operations, there has been an exponential increase in the frequency of eye injuries, which are the fourth cause of all injuries received during combat actions. One of the most severe complications of mechanical eye injuries is post-traumatic glaucoma. In case of eye injury, disability in 17.2–35.7 % of cases is due to secondary glaucoma. Post-concussion glaucoma is often diagnosed with a great delay, because both doctors and patients do not have glaucoma alertness. This especially applies to angle recession glaucoma because its clinical course is characterized by 2 waves of intraocular pressure increase. Almost 100 % of patients with hyphema experience recession of the anterior chamber angle. In the long term, even after years, this causes the occurrence of refractory glaucoma, which can lead to vision loss. Timely detection of anterior chamber angle recession is the prevention of angle recession glaucoma and the preservation of visual functions.
контузія ока; післятравматична глаукома; рецесія кута передньої камери; гіфема; кут передньої камери; гоніоскопія; трабекули; шлеммів канал; мікрохірургія глаукоми
eye contusion; post-traumatic glaucoma; anterior chamber angle recession; hyphema; anterior chamber angle; gonioscopy; trabeculae; Schlemm’s canal; glaucoma microsurgery
Для ознакомления с полным содержанием статьи необходимо оформить подписку на журнал.
- Wallace LM Alward, Reid A Longmuir. AAO; Color Atlas of Gonioscopy. 2017 Nov 08. https://www.aao.org/education/disease-review/color-atlas-of-gonioscopy.
- Taqi AA, Hussein AS, Jamal NM. Traumatic Hyphema Frequency and Management Evaluation: A Retrospective Study. Health Sci J. 2017;11: 1.
- Bezditko P. Some aspects of the clinic and treatment of uveal glaucoma. Archives of Ophthalmology of Ukraine. 2023;11(1):47-54.
- Blanton FM. Anterior chamber angle recession and secondary glaucoma: a study of the after effects of traumatic hyphemas. Arch Ophthalmol. 1964;72:39-44.
- Bozhikyan KD, Stein AL, Slabo MA, Chen PP. Frequency is a factor in the risk of traumatic displacement of the internal ocular pressure and traumatic glaucoma after injury to the open eye. Eye (London). 2015 breast; 29(12):1579-84.
- Brenner Jason, Aref Ahmad A, Moore Daniel B, John Davis Akkara, et al. Woreta Angle Recession Glaucoma. EyeWiki. 2025 Sep 22.
- Cheng H, Zhang S, Xie Y, et al. Clinical results of cut canaloplasty in patients with traumatic recessive glaucoma: a prospective interventional series of episodes. Br J Ophthalmol. 2023;107:1092-1097.
- Collins ET. On the Pathological Examination of Three Eyes Lost from Concussion. Ophthalmological Society of the United Kingdom: London, UK, 1890. Volume XII.
- Angle-recession glaucoma: long-term clinical results over a 10-day period with traumatic microhyphema. International Ophthalmology. 2015;35(1)107-113. doi: 10.1007/s10792-014-0027-5.
- D’Ombrain A. Traumatic or “concussion” chronic glaucoma. Br J Ophthalmol. 1949;33:495-500.
- European Glaucoma Partnership. Terminology and recom–mendations for glaucoma, 5th edition. Br J Ophthalmol. 2021;105(Appendix S1):1-169.
- Filipe JA, Barros H, Castro-Correia J. Sports-related ocular injuries. A three-year follow-up study. Ophthalmology. 1997;104(2):313-318.
- Giovinazzo VJ, Yannuzzi Louisiana, Sorenson JA, et al. The ocular complications of boxing. Ophthalmology. 1987;94:587-596.
- Girkin KA, McGwin G, Long K, Morris R, Kuhn F. Glaucoma after eye injury: a cohort study of the US Ocular Injury Registry. J Glaucoma. 2005;14(6):470-473.
- Iannucci V, Manny P, Alisi L, Mecarelli G, Lambiaz A, Bruskolini A. Bilateral cutaneous recession and chronic post-traumatic glaucoma: a review of the literature and a sign of loss. Life. 2023;13:1814. https://doi.org/10.3390/life13091814.
- International transport forum. River light from road safety 2018. OECD: Paris, France, 2018.
- Jensen OA. Contusive angle recession. A histopathological study of a Danish material. Acta Ophthalmol. 2009;46:1207-1212.
- Kaufman J, Tolpin D. Glaucoma after traumatic angle recession. Am J Ophthalmol. 1974;78:648-654.
- Kaushik J, Parihar JKS, Singh A, Shetty R, Singhal A, Chaitanya YVK, et al. Evaluation of primary Ahmed Glaucoma valve implantation in post-traumatic recessive glaucoma in Indian eyes. Int Ophthalmol. 2022;42:817-827.
- Mooney D. Rupture of the anterior chamber after non-perforative injury. Br J Ophthalmol. 1972;56:418-424.
- Négrel AD, Tilefors B. Global influx of eye injuries. Ophthalmic Epidemiol. 1998;5:143-169.
- Nizky Ng, Hoskin, Rousselot RAK, Gunasekeran DV, Natarajan S, Sundar G, et al. Establishment of clinical registries for ophthalmic trauma — International Epidemiological Study of Globe and Adnexal Trauma (IGATES). Graefes’s arch. Clin Exp Ophthalmol. 2022;260:1055-1067.
- Palmer E, Lieberman TW, Burns S. Deformation of the contusion in prize-winners. Arc Ophthalmol. 1976;94:225-228.
- Pujari A, Selvan H, Behera AK, Gagrani M, Kapoor S, Dada T. The probable mechanism of traumatic angle recession and cyclodialysis. J Glaucoma. 2020;29:67-70.
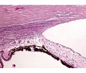
- Ralph C Eagle. Pathology slide of patient with angle recession glaucoma. The patient also had pseudoexfoliation. https://eyewiki.org/File:Angle_recession.jpg.
- Reese AB. Deep-chamber glaucoma due to the formation of a cuticular product in the filtration Angle. Trans Am Ophthalmol Soc. 1944;42:155-169.
- Senthil S, Dangeti D, Battula M, Rao HL, Garudadri C. Trabeculectomy with mitomycin-C for post-traumatic glaucoma with recessive cut in phakic eyes without anterior internal ocular insertion. Syomin Ophthalmol. 2022;37:171-176.
- Shah K, Sen P, Tabani S, Prasad K, Piush P, Jain E. Clinical features of early pediatric traumatic glaucoma and prognostic factors for the need for early glaucoma surgery. Indian J Ophthalmol. 2023;71:967.
- Strocatius WW, Kaufman AH, West CE. Pediatric eye injury associated with an airbag and loss of endothelial cells. J Am Assoc Pediatrician Ophthalmol Skewness. 2003;7:380-383.
- Wallis LA, Greaves I. Injuries associated with airbag deployment. Emerg Med J. 2002;19:490-493.
- Walton W, Von Hagen S, Grigorian R, Zarbin M. Management of traumatic hyphema. Surv Ophthalmol. 2002;47:297-334.
- Hai-Qing Bai, Lin Yao, et al. Causes and treatment of traumatic secondary glaucoma. Euro J. Ophthalmol. 2009;19:201-206.
- Weichel ED, Colyer MH, Bautista C, et al. Traumatic brain injury associated with combat ocular trauma. J Head Trauma. 2009;24(1):41-50.
- Weichel ED, Colyer MH, Ludlow SE, et al. Сombat ocular trauma visual outcomes during operation iraqi and enduring freedom. Ophthalmology. 2008;115:2235-2245.
- Wolff SM, Zimmerman LE. Chronic secondary glaucoma. Associated with retrodisplacement of iris root and deepening of the anterior chamber angle secondary to contusion. Am J Ophthalmol. 1962;54:547-563.
- Wolffsohn S, Benítez-Del-Castillo José M, et al. TFOS DEWS III: Diagnostic Methodology. American Journal of Ophthalmology. 2025;279:387-450.
- Collins ET. About the pathological investigation of three eyes lost to the coward’s brain. Trans Ophthalmol Soc UK. 1892;12:180-183.
- Wong T, Klein B, Klein R. Width and 5-fold incidence of eye injuries — follow-up from the Beaver Dam Eye Study. Ophthalmology. 2000;107:2196-2202.
- Yanoff M, Duker JS (eds.) Ophthalmology, 4th ed. Elsevier Saunders: Amsterdam, The Netherlands, 2014; pp. 1084-1089.
